BÖBREK ÜSTÜ TÜMÖRLERİ :
Böbrek üstü bezleri farklı hormonlar salgılayarak görev yapar. Her iki böbreğin hemen üzerinde şapka gibi yer alır (Şekil 1). Yapılan radyolojik görüntülemelerde tesadüfen kitle tanısı alır.
 
															Şekil 1 : Böbrek üstü bezlerinin ve tümörünün şematik görünümü.
Böbrek üstü bezinde bir kitle saptandığında hem metabolik yönden hem de kanser açısından değerlendirilmesi gerekir. Hasta dikkatli bir sorgulamadan geçirilmeli fizik muayene yapılmalıdır. Kıllanmada artış, kaslarda güçsüzlük, ciltte çatlaklar, karında yağlanma, aydede yüzü görünümü, depresyon, başağrısı, kollarda bacaklarda uyuşma karıncalanma ve hipertansiyon varlığına bakılmalı, rutin testler ve 24 saatlik idrarda ve kanda hormonal ölçümler yapılmalıdır.
Bilgisayarlı tomografi ve MR gibi radyolojik görüntüleme ile görülen kistik lezyonlar genellikle iyi huyludur ve belli aralıklarla takip gerektirir. 4 santimetreden büyük karmaşık kanamalı solid kitlelerde kanserden şüphelenilmelidir.
 
															 
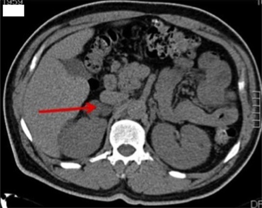
															Şekil 2 : Böbrek üstü bezinin sağda iyi huylu adenom (soldaki resim) ve sol böbrek üstü kanserinin (sağdaki resim) tomografik görünümü.
Eğer kitle fonksiyonel ve 4 cm’den büyükse cerrahi olarak çıkarılmalıdır. 4 cm’den küçük fonksiyonel olmayan böbrek üstü bezi kitlelerinde 3-6 ay sonra yeniden radyolojik görüntüleme yöntemleri ile değerlendirilmeli bir değişiklik yoksa yılda bir takip edilmelidir. Her 5 yılda bir de hormonal değerlendirme yapılmalıdır. Kitle fonksiyonel hale gelirse veya boyutu 0.8 cm artarsa laparoskopik olarak cerrahi çıkarılma uygulanmalıdır.
 
															 
															Şekil 3 : Böbrek üstü kanserinin laparoskopik veya açık yöntemle kesilerek dışarı alınması
 
								 
															 
															 
															